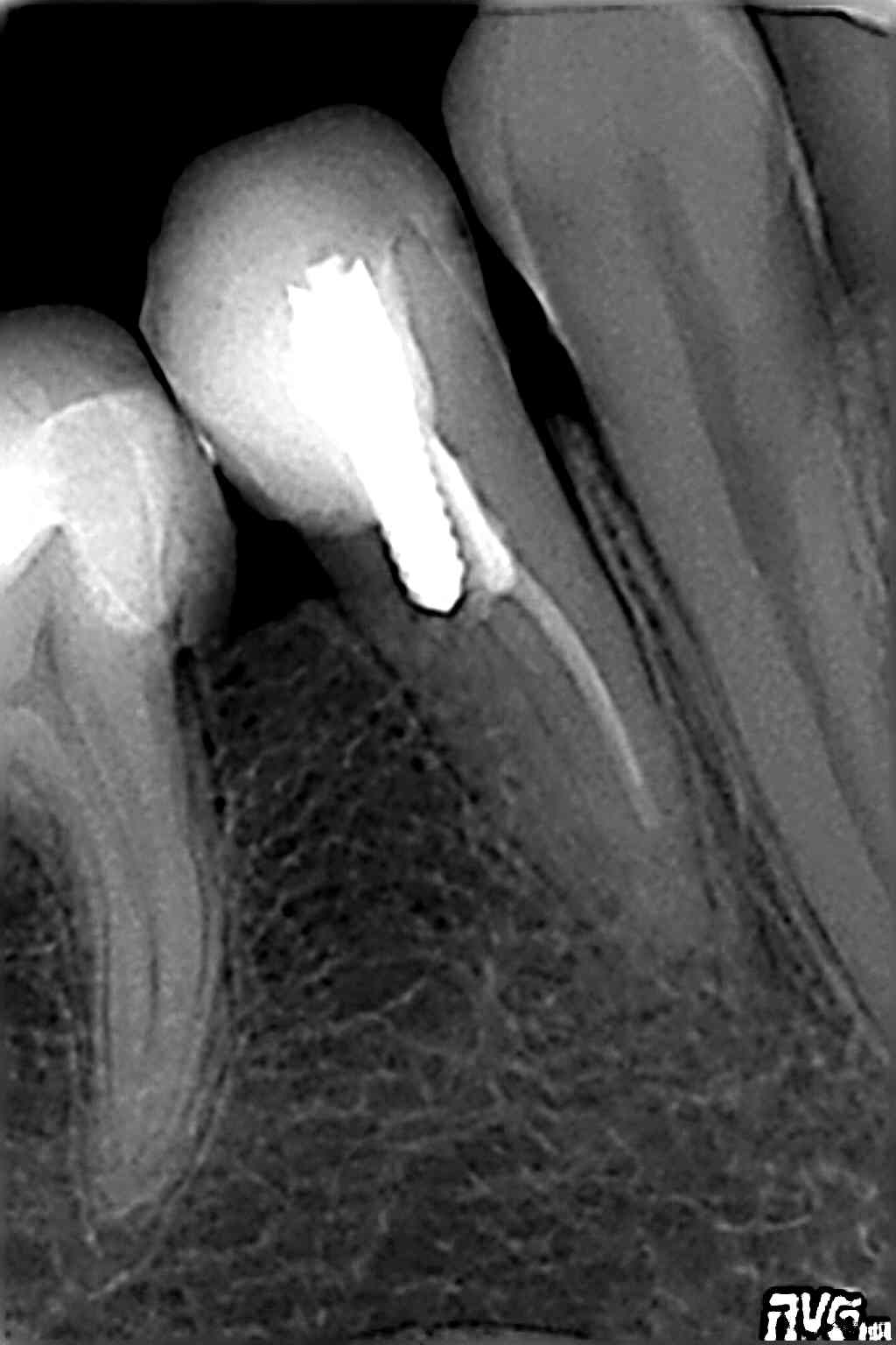
Radiowizjografia
Radiowizjografia jest podstawowym narzędziem do diagnostyki, oraz kontrolowania przeprowadzonego zabiegu stomatologicznego.
Takie dziedziny stomatologii jak implantologia czy endodoncja nie mogłyby być skutecznie wykonywane bez cyfrowych systemów radiologicznych.
W odroznieniu od standardowego RTG, radiowizjografia eliminuje tradycyjną kliszę rentgenowską, która zostaje zastąpiona specjalnym czujnikiem, dzieki któremu od razu uzyskujemy wysokiej jakości obraz na ekranie komputera. Technika cyfrowa dzięki możliwości zastosowania kontrastu, powiększenia wybranego fragmentu obrazu, dokonywania pomiarów pozwala na nieporównywalnie dokładniejszą ocenę sytuacji klinicznej niż tradycyjne zdjęcie RTG.
Radiowizjografia pozwala obniżyć dziesięciokrotnie dawkę promieniowania w stomatologicznych zdjęciach wewnątrzustnych w porownaniu z standardowymi zdjęciami wykonanymi na kliszy.
Dzięki łatwości archiwizacji i dostępu do danych mamy możliwość analizowania efektów leczenia i kontroli stanu uzębienia na przestrzeni wielu lat.
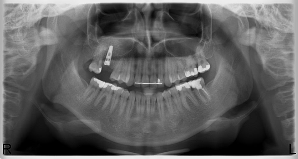
Zdjęcia ortopantomograficzne
Zdjęcia ortopantomograficzne są wykorzystywane w stomatologii zachowawczej, chirurgii, implanto-protetyce, ortodoncji oraz w leczeniu chorób przyzębia.
Pozwalają na uwidocznienie jednocześnie wszystkich struktur anatomicznych czyli: zębów, stawów skroniowo-żuchwowych, kości szczęk i żuchwy. Na zdjęciach ortopantomograficznych obserwujemy stopień mineralizacji i kierunek wyrzynania się zębów, nieprawidłowości w budowie korzeni, umiejscowienie zębów zatrzymanych oraz położenie korzeni zębów względem zatok szczękowych. Zdjęcia te pozwalają także na dokładną ocenę stanu przyzębia.
W Naszym gabinecie posiadamy w pełni cyfrowy aparat ortopantomograficzny firmy Morita, którego głównymi cechami są:
- trzykrotnie krótszy czas ekspozycji w porównaniu z innymi aparatami
- sześciokrotnie mniejsza dawka w porównaniu z aparatami analogowymi
- doskonała jakość zdjęć
- trzy programy pracy (standardowy ortopantomogram, ortopantomogram dla dzieci, zdjęcie czynnościowe stawów skroniowo-żuchwowych)
- bardzo proste ustawianie pacjenta za pomocą trzech wskaźników laserowych

32 231 56 13